Skip to content Skip to footer
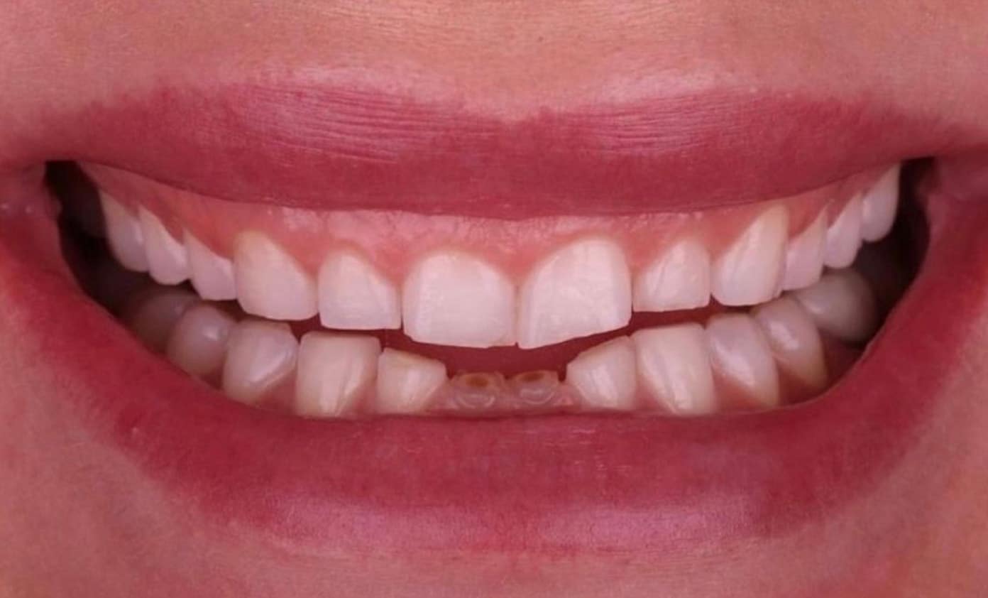
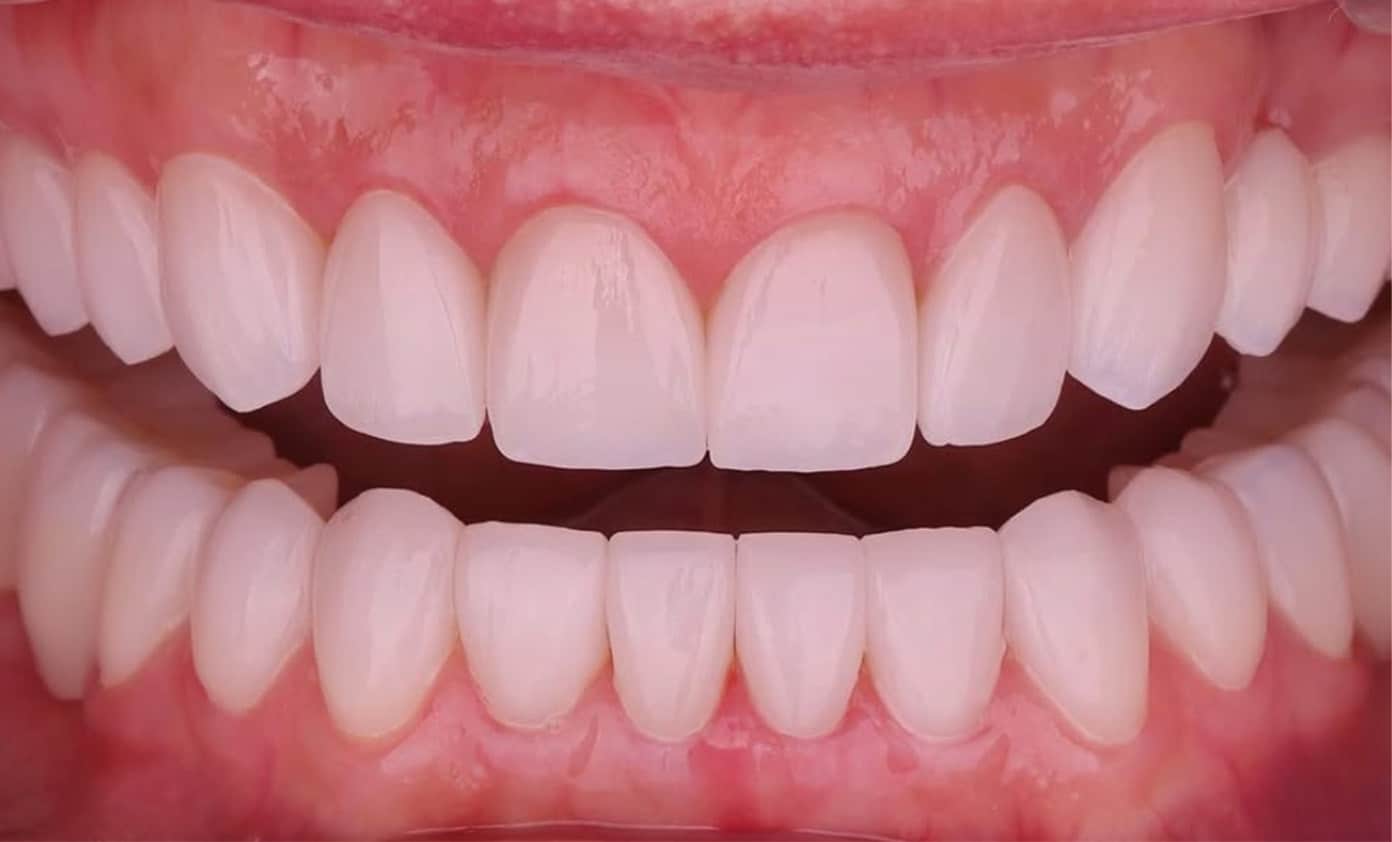
Before & After

Visible Changes, Lasting Impact

More than 350 patients have trusted Next Smile for porcelain veneers, resin veneers, whitening, zirconia crowns, bridges, and implants. Each transformation reflects precision, artistry, and natural results.

BeforeBeforeAfter
BeforeAfter
BeforeBeforeAfter
BeforeAfter
BeforeBeforeAfter
BeforeAfter
BeforeBeforeAfter
BeforeAfter
BeforeBeforeAfter
BeforeAfter
BeforeBeforeAfter
BeforeAfter
BeforeBeforeAfter
BeforeAfter
BeforeBeforeAfter
BeforeAfter
BeforeBeforeAfter
BeforeAfter
BeforeBeforeAfter
BeforeAfter
BeforeBeforeAfter
BeforeAfter
BeforeBeforeAfter
BeforeAfter
BeforeBeforeAfter
BeforeAfter
BeforeBeforeAfter
BeforeAfter
BeforeBeforeAfter
BeforeAfter
Veneers Tijuana - NEXT Smile
About Us

With over 10 years of experience, Next Smile combines advanced technology and artistic precision to deliver natural, lasting results. Our team of five specialists has transformed more than 350 smiles, earning trust through personalized care and proven excellence in cosmetic dentistry.

Location
Address:

Gobernador Lugo 9531-5, Davila, 22044 Tijuana, B.C.

Contact Info
Phone

+18583161222

Email

info@nextsmile.com

NEXT Smile © 2025. All rights reserved.